ARTICLES AVEC LE TAG : "dbs"



Les belles histoires de la médecine (1/5) La chirurgie de l'âme à écouter sur France Culture en Podcast.

La référence Son BC, Kim DR, Kim HS, Lee SW. Simultaneous Trial of Deep Brain and Motor Cortex Stimulation in Chronic Intractable Neuropathic Pain. Stereotact Funct Neurosurg. Jul 26 2014; 92(4):218-226. L'article La stimulation corticale motrice (SCM) et cérébrale profonde (SCP) du nucleus ventralis caudalis (Vc) du thalamus ont démontré leur efficacité dans la douleur neuropathique chronique. La modulation de l'activité thalamique et thalamocortical serait considérée comme un...

30 avril 2014
La référence Boccard SG, Fitzgerald JJ, Pereira EA, Moir L, Van Hartevelt TJ, Kringelbach ML, Green AL, Aziz TZ (2014) Targeting the Affective Component of Chronic Pain: A Case Series of Deep Brain Stimulation of the Anterior Cingulate Cortex. Neurosurgery, 2014 April 15 L'article La stimulation cérébrale profonde (SCP) s’est montrée prometteuse pour soulager certaines douleurs chroniques réfractaires de type neuropathique. Néanmoins, chez certains patients, demeure rebelle à cette...

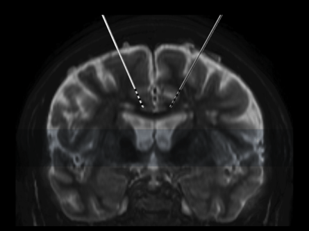
La référence Hunsche S, Sauner D, Runge MJ, Lenartz D, El Majdoub F, Treuer H, Sturm V, Maarouf M. Tractography-guided stimulation of somatosensory fibers for thalamic pain relief. Stereotact Funct Neurosurg. 2013;91(5):328-34 L'article Le faisceau spinothalamocortical (STC) est considéré comme étant la voie responsable dans la transmission des douleurs thalamiques. Le thalamus ou le bras postérieur de la capsule interne (BPCI) sont des cibles pour la stimulation cérébrale profonde...